دنیای فناوری
بهبود روش انتقال سلول بنیادی برای ترمیم بافت غضروف

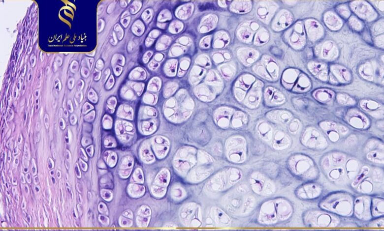
تهران- ایرنا- «بهبود روش انتقال سلول بنیادی برای ترمیم بافت غضروف» در قالب طرح رساله دکتری با حمایت بنیاد ملی علم ایران انجام شده است.
منبع : ایرنا

تهران- ایرنا- «بهبود روش انتقال سلول بنیادی برای ترمیم بافت غضروف» در قالب طرح رساله دکتری با حمایت بنیاد ملی علم ایران انجام شده است.
منبع : ایرنا